A INGHETAT cand s-a uitat in oglinda dimineata si a vazut ASTA! Ce crezi ca a patit?

Editor: Bogdan Mihai Author: B.M.
Actualizat: 27 feb 2017, 03:47

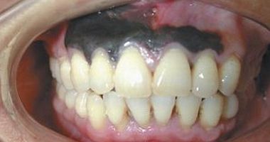
Un barbat din China a trait un adevarat soc in momentul in care s-a trezit intr-o dimineata si s-a uitat in oglinda.

Omul, in varsta de 45 de ani, a descoperit cu stupoare faptul ca gingiile lui s-au facut negre. Totul a fost cu atat mai ciudat cu cat el s-a simtit perfect inainte de acest episod, iar niciun semn nu indica o astfel de transformare.

S-a dus imediat la doctor, iar medicii i-au stabilit diagnosticul: se pare ca el suferea de o forma destul de grava de melanom la gingii.

Doar 5% din populatia pamantului sufera de aceasta forma rara de cancer.

Ati mai vazut asa ceva?

Citește și: Durere in partea stanga a corpului – cauze si remedii